
Progress Isn’t Promised
At Penn State, our research focuses on what matters—protecting the future and securing America's leadership.
But what happens if it stops?
Research with Real Impact

What if sexual assault survivors had access to healing care?
For survivors of sexual assault, care matters. Penn State is strengthening nursing care when it matters most.

What if we could prevent disasters before they strike?
Pittsburgh's aging infrastructure is crumbling. Penn State research gives the city early warnings to prevent disasters and save money.

What if there was a better way to heal broken ribs?
Broken ribs cause agonizing pain and dangerous complications. Penn State created a better way to repair them with fewer risks and less pain.

What if Pennsylvania apples disappeared?
Apple growers face high-stakes choices each season. Penn State's blossom thinning technology helps farmers grow better fruit with fewer chemicals.

What if small towns built big tech?
Manufacturing jobs left rural towns. Penn State is helping bring them back through lifesaving ultrasound research.

What if sustainable clothing could protect soldiers?
Military uniforms still rely on toxic, outdated materials. Penn State’s Procell fiber offers safer, stronger protection without harmful chemicals.
See More Research in Action
What if forever chemicals changed your health for life? Student researchers study PFAS exposure and long-term changes to the gut microbiome, showing how federal funding supports discoveries that protect future health.
Many Pennsylvania levees aren’t certified. Penn State offers low-cost ways to help towns meet standards, protect homes, and save money.
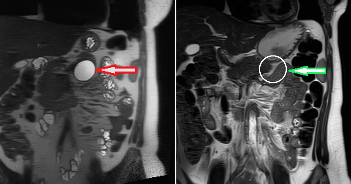
Pancreatic cancer is one of the deadliest forms of cancer. Penn State’s new procedure gives patients peace of mind and a second chance at life.
Farmers who raise healthy chickens help keep supermarket shelves stocked. We partner with Pennsylvania farmers to protect the supply of America’s favorite protein.
Car accidents from underage drinking are a leading cause of teen death. Penn State's program helps parents talk to their kids to prevent unsafe behavior.
What if we sustainably sourced rare materials crucial for national security? Penn State researchers are extracting these critical minerals from Pennsylvania’s old mine waste.
Millions have liver disease and don’t know it until it’s too late. Penn State is using exercise as medicine to reverse damage.
What if parenting wasn’t so stressful? Penn State is helping parents build stronger relationships and happier families.
Voices for Change

Funding Disruptions Stall Public Health Progress
Interruptions in federal support can halt prevention efforts and the work of local health agencies. Penn State prevention scientist Max Crowley explains why reliable funding is essential for public health.

America’s Research Advantage Is Slipping Away
Penn State research leader Andrew Read explains how decades of collaboration between universities and federal agencies have fueled discovery—and what’s at stake if that support fades.

Defunding Chemistry Research Could Cost Pennsylvania Billions
Pennsylvania’s chemical research fuels innovation, good jobs, and billions in economic growth. Penn State chemist Kenneth Knappenberger warns that federal cuts could jeopardize all three.

Federal Funding Cuts for Medical Research Will Hurt Pennsylvanians
What if the cure your loved one needs never gets discovered? Penn State dean Karen Kim says medical research cuts threaten lives and must be stopped.
Federal Research Cuts Could Put Your Future at Risk
At risk: Research to improve your health
Research is behind the care your family counts on—from stroke treatment to safer pregnancies.
At risk: Research to protect your food supply and natural resources
From the farms that feed us to the bees that keep crops growing, research protects the food on your table.
At risk: Research to strengthen your infrastructure
Whether it’s your power, your home, or preparing for the next big storm, research helps keep your community safe, ready, and strong.
At risk: Research to fuel your economy
The economy depends on forward-thinking ideas. Without research, we stall progress and the jobs that come with it.



